Che cos'è l'odontoiatria estetica?


Per odontoiatria estetica si intende l’attività rivolta ad agire su forma e colore dei denti, tessuti molli della bocca e posizione degli elementi per rendere il complesso dentario più armonioso ed esteticamente appagante, per migliorare la bellezza oggettiva del sorriso.

Come interveniamo?
La tecnica proposta più frequentemente per la sua mini invasività e l’ottimo risultato estetico, senza modificare, quasi mai, i denti del paziente, consiste nell’applicazione di faccette dentali, piccole sfoglie di ceramica che, con maestria vengono realizzate, su indicazione del medico, dai nostri tecnici e, una volta approvate dal paziente, applicate in pochi minuti.

Casi più complessi, vengono affrontati e risolti con l’uso di apparecchi ortodontici, possibili interventi gengivali, ricostruzioni ossee e applicazione di faccette o corone di ceramica integrale.


La particolare abilità dei tecnici e del Dott. Luca Grossi hanno reso famoso lo studio per questo tipo di trattamenti. Ad integrazione finale, nel caso ci fosse bisogno, collaboriamo con un noto chirurgo estetico di Perugia

Contattaci per informazioni o richiedere un preventivo



Caso complesso esplicativo delle tecniche utilizzate:

Agenesia dell'incisivo laterale, Paziente C.B.:

Inserimento di un impianto, ricostruzione ossea, innesto di connettivo.
Risultato finale a 6 mesi di distanza



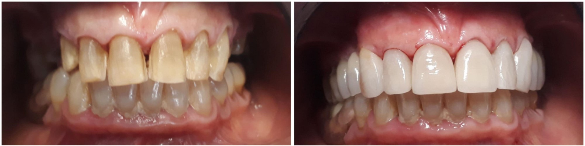
Caso di faccette estetiche:
Applicazione di faccette estetiche con coronoplastica di alcuni elementi



Caso di faccette estetiche:
Applicazione di faccette estetiche con rimodellamento gengivale

Che cos'è l'odontoiatria estetica?


Per odontoiatria estetica si intende l’attività rivolta ad agire su forma e colore dei denti, tessuti molli della bocca e posizione degli elementi per rendere il complesso dentario più armonioso ed esteticamente appagante, per migliorare la bellezza oggettiva del sorriso.

Come interveniamo?
La tecnica proposta più frequentemente per la sua mini invasività e l’ottimo risultato estetico, senza modificare, quasi mai, i denti del paziente, consiste nell’applicazione di faccette dentali, piccole sfoglie di ceramica che, con maestria vengono realizzate, su indicazione del medico, dai nostri tecnici e, una volta approvate dal paziente, applicate in pochi minuti.

Casi più complessi, vengono affrontati e risolti con l’uso di apparecchi ortodontici, possibili interventi gengivali, ricostruzioni ossee e applicazione di faccette o corone di ceramica integrale.


La particolare abilità dei tecnici e del Dott. Luca Grossi hanno reso famoso lo studio per questo tipo di trattamenti. Ad integrazione finale, nel caso ci fosse bisogno, collaboriamo con un noto chirurgo estetico di Perugia

Contattaci per informazioni o richiedere un preventivo



Caso complesso esplicativo delle tecniche utilizzate:

Agenesia dell'incisivo laterale, Paziente C.B.:

Inserimento di un impianto, ricostruzione ossea, innesto di connettivo.
Risultato finale a 6 mesi di distanza



Caso di faccette estetiche:
Applicazione di faccette estetiche con coronoplastica di alcuni elementi



Caso di faccette estetiche:
Applicazione di faccette estetiche con rimodellamento gengivale
Vuoi Informazioni ?
Chiama lo studio dentistico
del Dott. L.Grossi
Richiedi informazioni
Richiedi informazioni
Ti interessa avere maggiori informazioni ? Contattaci adesso sapremo fornirti le risposte che cerchi.
Formula di acquisizione del consenso dell'interessato
Informativa Privacy Modulo ex art. 13 Reg. (UE) 2016/679
Informativa Privacy Newsletter ex art. 13 Reg. (UE) 2016/679
L'interessato acquisite le informazioni dal Titolare, presta il consenso per le finalità sotto riportate.

I campi contrassegnati con l'asterisco sono obbligatori.
Vuoi maggiori informazioni?
Contattaci adesso
075396240 WhatsApp
oppure inviaci la tua richiesta
compilando il modulo.
info@dentistagrossi.it





Formula di acquisizione del consenso dell'interessato
Informativa Privacy Modulo ex art. 13 Reg. (UE) 2016/679
Informativa Privacy Newsletter ex art. 13 Reg. (UE) 2016/679
L'interessato acquisite le informazioni dal Titolare, presta il consenso per le finalità sotto riportate.

I campi contrassegnati con l'asterisco sono obbligatori.