Torna al tuo vecchio sorriso con l'aiuto dell'implantologia dentale, non perdere l'occasione di tornare a sorridere e sentirti nuovamente a tuo agio con te stesso.

Che cos'è l'implantologia dentale:


Gli impianti sono dispositivi medici (viti in titanio) utilizzati per sostituire funzionalmente ed esteticamente, denti persi o mancanti congenitamente. Gli impianti si inseriscono facilmente nell’osso con specifica attrezzatura, permettendo il sostegno di una protesi fissa, parziale o totale. Dopo circa 3 mesi dal loro inserimento, tempo necessario all'integrazione degli impianti, o entro 48 ore dall'inserimento (qualora le condizioni del paziente lo consentano), si procede alla costruzione di una protesi fissa sugli impianti inseriti. Il titanio impiegato nella realizzazione degli impianti è un materiale altamente biocompatibile che solo raramente fallisce la sua integrazione.

La grande esperienza del Dott. Luca Grossi, permetterà la scelta migliore di volta in volta.

A cosa serve l'implantologia dentale:


Con l'aiuto dell'implantologia dentale puoi sostituire i tuoi denti mancanti, ritrovare l'estetica una corretta funzione masticatoria e aumentare notevolmente la qualità della tua vita.

Molteplici sono i casi che si possono risolvere con gli impianti:
-Agenesia congenita di elementi dentari
-Perdita per traumi
-Perdita per malattia paradontale c.d. gengivite espulsiva
-Sostituzione di vecchie protesi mobili incongrue
-Perdita di pilastri di protesi tradizionali


L’implantologia, inoltre, evita nel caso di protesizzazioni parziali, di utilizzare denti sani come pilastri di ponte, allungando la prognosi e la predicibilità, cancellando il danno biologico.
Questo è sicuramente l’aspetto più innovativo dell’implantologia moderna.



Che cos’è l’implantologia guidata?


E’ un modo relativamente nuovo che permette di inserire impianti con tecniche minimamente invasive, in tempi rapidi e con una protesizzazione fissa immediata.
Per l’utilizzo di questa tecnica occorrono condizioni, che stabilisce il professionista di volta in volta, dopo un’attenta pianificazione pre-chirurgica e con l’ausilio della CONEBEAN TAC, che permette di indagare l’osso in tridimensione. Se le condizioni sono favorevoli, si costruisce una mascherina radiologica con la quale si farà una conebean tac, che permetterà, una volta acquisite le immagini, con uno speciale software, di eseguire virtualmente l’intervento, posizionando gli impianti nel sito ideale. A questo punto, il laboratorio realizza una speciale dima chirurgica che permetterà di inserire gli impianti nella stessa posizione della simulazione chirurgica.
Con lo stesso software, il tecnico realizza la protesi definitiva che avrà tanti fori d’accesso quanti sono gli impianti per cui, una volta terminata la fase chirurgica, la protesi viene avvitata immediatamente.
L'aspetto innovativo di questa tecnica è che l’intervento viene eseguito in anestesia locale in tempi rapidi e con un post chirurgico senza alcun disagio per il paziente. Il paziente arriva in studio senza denti o con denti da estrarre ed esce dopo poche ore con la protesi saldamente fissata. Poche sono le controindicazioni assolute alla chirurgia implantare: particolari malattie sistemiche, uso di alcuni farmaci, assoluta mancanza d’osso.
La percentuale di insuccesso aumenta nei grandi fumatori, nei diabetici e per motivi di scarsa igiene. Sarà il chirurgo di volta in volta che studierà il caso e concorderà il trattamento con il paziente.



Contattaci per informazioni o richiedere un preventivo



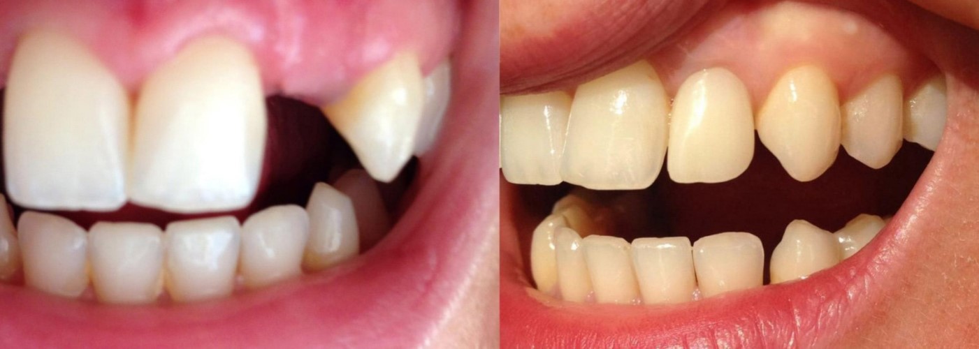
Impianto singolo prima e dopo



Intera arcata dentale prima e dopo



Applicazione di 6 impianti in paziente edentula a destra risultato finale con protesi fissa



Inserimento di 6 impianti in chirurgia guidata, protesizzazione immediata a distanza di 2 ore



Estrazione di tutti i denti, inserimento di 6 impianti e protesizzazione a distanza di 24 ore



Inserimento di 2 impianti con rigenerazione ossea con griglie in titanio.



Impianti, dopo 6 mesi dall’intervento di ricostruzione ossea, pronti per essere protesizzati



Inserimento di 6 impianti in chirurgia guidata e èprotesizzazione immediata (protesizzazione e chirurgia 2h)



Risultato finale protesi fissa su impianti superiori ed inferiori



Impianto singolo, applicazione impianto e protesizzazione prima e dopo



Estrazione di 4 incisivi inferiori compromessi, inserimento immediato di due impianti e applicazione di protesi provvisorie dopo una sola ora. A distanza di 5 mesi è stata protesizzata definitivamente con denti in ceramica.

Torna al tuo vecchio sorriso con l'aiuto dell'implantologia dentale, non perdere l'occasione di tornare a sorridere e sentirti nuovamente a tuo agio con te stesso.

Che cos'è l'implantologia dentale:


Gli impianti sono dispositivi medici (viti in titanio) utilizzati per sostituire funzionalmente ed esteticamente, denti persi o mancanti congenitamente. Gli impianti si inseriscono facilmente nell’osso con specifica attrezzatura, permettendo il sostegno di una protesi fissa, parziale o totale. Dopo circa 3 mesi dal loro inserimento, tempo necessario all'integrazione degli impianti, o entro 48 ore dall'inserimento (qualora le condizioni del paziente lo consentano), si procede alla costruzione di una protesi fissa sugli impianti inseriti. Il titanio impiegato nella realizzazione degli impianti è un materiale altamente biocompatibile che solo raramente fallisce la sua integrazione.

La grande esperienza del Dott. Luca Grossi, permetterà la scelta migliore di volta in volta.

A cosa serve l'implantologia dentale:


Con l'aiuto dell'implantologia dentale puoi sostituire i tuoi denti mancanti, ritrovare l'estetica una corretta funzione masticatoria e aumentare notevolmente la qualità della tua vita.

Molteplici sono i casi che si possono risolvere con gli impianti:
-Agenesia congenita di elementi dentari
-Perdita per traumi
-Perdita per malattia paradontale c.d. gengivite espulsiva
-Sostituzione di vecchie protesi mobili incongrue
-Perdita di pilastri di protesi tradizionali


L’implantologia, inoltre, evita nel caso di protesizzazioni parziali, di utilizzare denti sani come pilastri di ponte, allungando la prognosi e la predicibilità, cancellando il danno biologico.
Questo è sicuramente l’aspetto più innovativo dell’implantologia moderna.



Che cos’è l’implantologia guidata?


E’ un modo relativamente nuovo che permette di inserire impianti con tecniche minimamente invasive, in tempi rapidi e con una protesizzazione fissa immediata.
Per l’utilizzo di questa tecnica occorrono condizioni, che stabilisce il professionista di volta in volta, dopo un’attenta pianificazione pre-chirurgica e con l’ausilio della CONEBEAN TAC, che permette di indagare l’osso in tridimensione. Se le condizioni sono favorevoli, si costruisce una mascherina radiologica con la quale si farà una conebean tac, che permetterà, una volta acquisite le immagini, con uno speciale software, di eseguire virtualmente l’intervento, posizionando gli impianti nel sito ideale. A questo punto, il laboratorio realizza una speciale dima chirurgica che permetterà di inserire gli impianti nella stessa posizione della simulazione chirurgica.
Con lo stesso software, il tecnico realizza la protesi definitiva che avrà tanti fori d’accesso quanti sono gli impianti per cui, una volta terminata la fase chirurgica, la protesi viene avvitata immediatamente.
L'aspetto innovativo di questa tecnica è che l’intervento viene eseguito in anestesia locale in tempi rapidi e con un post chirurgico senza alcun disagio per il paziente. Il paziente arriva in studio senza denti o con denti da estrarre ed esce dopo poche ore con la protesi saldamente fissata. Poche sono le controindicazioni assolute alla chirurgia implantare: particolari malattie sistemiche, uso di alcuni farmaci, assoluta mancanza d’osso.
La percentuale di insuccesso aumenta nei grandi fumatori, nei diabetici e per motivi di scarsa igiene. Sarà il chirurgo di volta in volta che studierà il caso e concorderà il trattamento con il paziente.



Contattaci per informazioni o richiedere un preventivo



Impianto singolo prima e dopo



Intera arcata dentale prima e dopo



Applicazione di 6 impianti in paziente edentula a destra risultato finale con protesi fissa



Inserimento di 6 impianti in chirurgia guidata, protesizzazione immediata a distanza di 2 ore



Estrazione di tutti i denti, inserimento di 6 impianti e protesizzazione a distanza di 24 ore



Inserimento di 2 impianti con rigenerazione ossea con griglie in titanio.



Impianti, dopo 6 mesi dall’intervento di ricostruzione ossea, pronti per essere protesizzati



Inserimento di 6 impianti in chirurgia guidata e èprotesizzazione immediata (protesizzazione e chirurgia 2h)



Risultato finale protesi fissa su impianti superiori ed inferiori



Impianto singolo, applicazione impianto e protesizzazione prima e dopo



Estrazione di 4 incisivi inferiori compromessi, inserimento immediato di due impianti e applicazione di protesi provvisorie dopo una sola ora. A distanza di 5 mesi è stata protesizzata definitivamente con denti in ceramica.
Vuoi Informazioni ?
Chiama lo studio dentistico
del Dott. L.Grossi
Richiedi informazioni
Richiedi informazioni
Ti interessa avere maggiori informazioni ? Contattaci adesso sapremo fornirti le risposte che cerchi.
Formula di acquisizione del consenso dell'interessato
Informativa Privacy Modulo ex art. 13 Reg. (UE) 2016/679
Informativa Privacy Newsletter ex art. 13 Reg. (UE) 2016/679
L'interessato acquisite le informazioni dal Titolare, presta il consenso per le finalità sotto riportate.

I campi contrassegnati con l'asterisco sono obbligatori.
Vuoi maggiori informazioni?
Contattaci adesso
075396240 WhatsApp
oppure inviaci la tua richiesta
compilando il modulo.
info@dentistagrossi.it





Formula di acquisizione del consenso dell'interessato
Informativa Privacy Modulo ex art. 13 Reg. (UE) 2016/679
Informativa Privacy Newsletter ex art. 13 Reg. (UE) 2016/679
L'interessato acquisite le informazioni dal Titolare, presta il consenso per le finalità sotto riportate.

I campi contrassegnati con l'asterisco sono obbligatori.