Perché i denti del giudizio fanno così fatica ad uscire?


Fanno fatica ad uscire perché si tratta dei terzi e ultimi molari, che di conseguenza, si devono adattare al poco spazio a disposizione lasciatogli dagli altri denti. Alcune volte riescono ad uscire del tutto, altre volte restano completamente sommersi nell'osso.

Quali problemi possono provocare quando non spuntano correttamente:


-Possono cariarsi o formare delle tasche gengivali
-Possono formare delle cisti
-Possono assumere una morfologia particolare
-Possono traumatizzare le mucose e impedire una corretta igiene dei denti adiacenti


In cosa consiste l'estrazione del dente del giudizio?


Diventa necessario intervenire all'estrazione del dente del giudizio quando dopo un'accurata visita specialistica si evidenzino particolari problematiche che possano far tendere verso questa soluzione. L'estrazione consiste in un intervento ambulatoriale, che necessita di un'anestesia loco-regionale preliminare, dopodiché si passerà all'estrazione vera e propria mediante appositi strumenti chirurgici.

Il Dott. Luca Grossi ha una grande esperienza in questo tipo di chirurgia.

Contattaci per informazioni o richiedere un preventivo



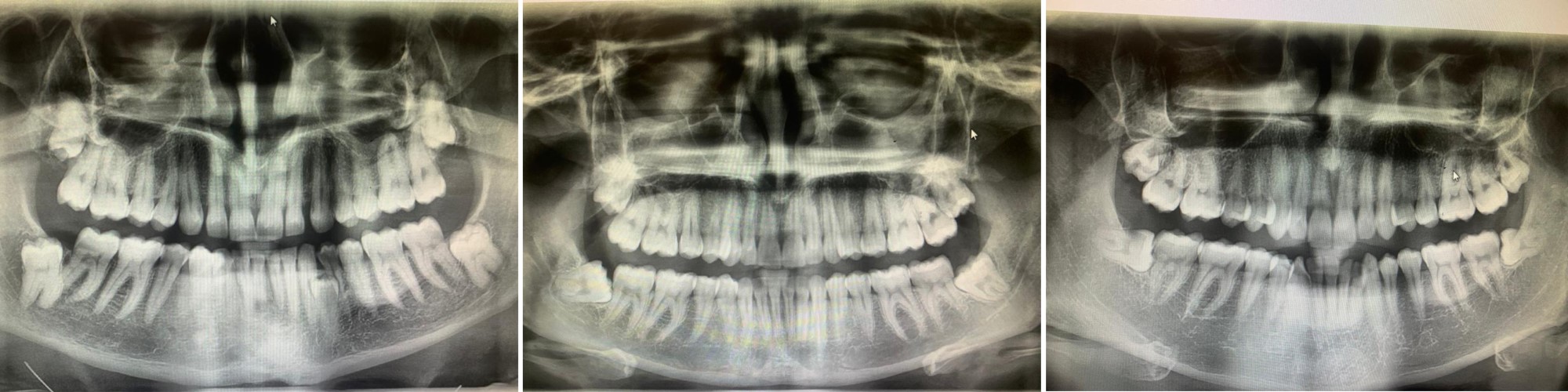
Alcuni esempi di denti del giudizio inclusi o in disodontiasi rimossi chirurgicamente

Perché i denti del giudizio fanno così fatica ad uscire?


Fanno fatica ad uscire perché si tratta dei terzi e ultimi molari, che di conseguenza, si devono adattare al poco spazio a disposizione lasciatogli dagli altri denti. Alcune volte riescono ad uscire del tutto, altre volte restano completamente sommersi nell'osso.

Quali problemi possono provocare quando non spuntano correttamente:


-Possono cariarsi o formare delle tasche gengivali
-Possono formare delle cisti
-Possono assumere una morfologia particolare
-Possono traumatizzare le mucose e impedire una corretta igiene dei denti adiacenti


In cosa consiste l'estrazione del dente del giudizio?


Diventa necessario intervenire all'estrazione del dente del giudizio quando dopo un'accurata visita specialistica si evidenzino particolari problematiche che possano far tendere verso questa soluzione. L'estrazione consiste in un intervento ambulatoriale, che necessita di un'anestesia loco-regionale preliminare, dopodiché si passerà all'estrazione vera e propria mediante appositi strumenti chirurgici.

Il Dott. Luca Grossi ha una grande esperienza in questo tipo di chirurgia.

Contattaci per informazioni o richiedere un preventivo



Alcuni esempi di denti del giudizio inclusi o in disodontiasi rimossi chirurgicamente
Vuoi Informazioni ?
Chiama lo studio dentistico
del Dott. L.Grossi
Richiedi informazioni
Richiedi informazioni
Ti interessa avere maggiori informazioni ? Contattaci adesso sapremo fornirti le risposte che cerchi.
Formula di acquisizione del consenso dell'interessato
Informativa Privacy Modulo ex art. 13 Reg. (UE) 2016/679
Informativa Privacy Newsletter ex art. 13 Reg. (UE) 2016/679
L'interessato acquisite le informazioni dal Titolare, presta il consenso per le finalità sotto riportate.

I campi contrassegnati con l'asterisco sono obbligatori.
Vuoi maggiori informazioni?
Contattaci adesso
075396240 WhatsApp
oppure inviaci la tua richiesta
compilando il modulo.
info@dentistagrossi.it





Formula di acquisizione del consenso dell'interessato
Informativa Privacy Modulo ex art. 13 Reg. (UE) 2016/679
Informativa Privacy Newsletter ex art. 13 Reg. (UE) 2016/679
L'interessato acquisite le informazioni dal Titolare, presta il consenso per le finalità sotto riportate.

I campi contrassegnati con l'asterisco sono obbligatori.